Menu
biotium logo
Antibody Finder
Menu
Hero Image

Viability & Apoptosis Assays

Gain accurate insights into cell life and death with our wide selection of cell viability and apoptosis assay kits for microplate readers, flow cytometry, and fluorescence microscopy. With versatile tools—including patented NucView® Caspase-3 Substrates for real-time apoptosis visualization—you can achieve fast, precise detection for robust and reproducible results.

Technology Highlight

Shedding Light on Cell Life & Death

Investigate cell viability and apoptosis with innovative and versatile technology—delivering precision, efficiency, and powerful insights.

  • Over 40 CF® Dyes across the visible, far-red & near-IR spectra—find your best fit
  • Developed in-house by industry-leading chemists, CF® Dyes outshine alternatives
  • Available as antibodies, conjugates, reactive dyes, and easy-to-use labeling kits
  • Supporting IF and super-resolution microscopy, flow cytometry, and more
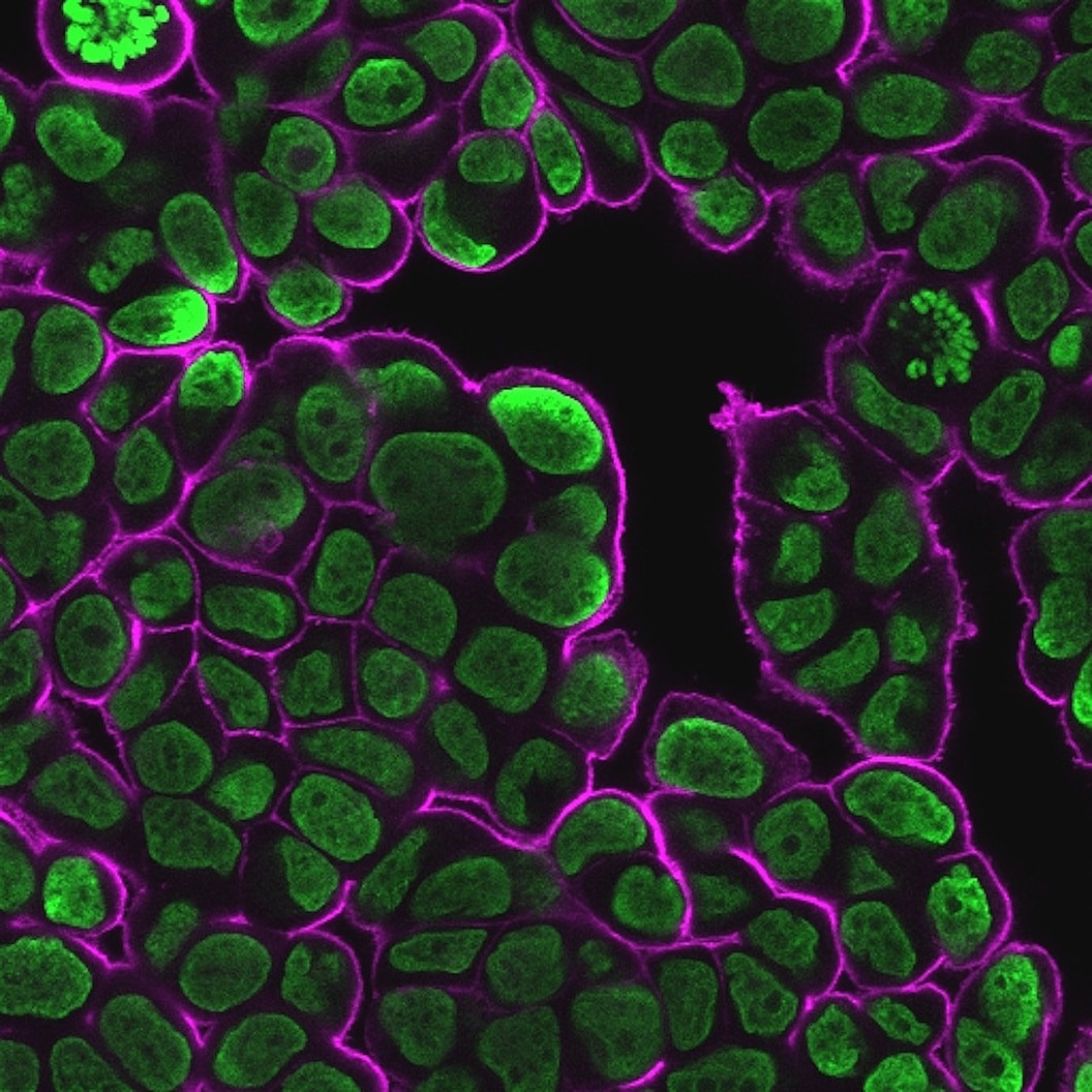
MCF7 cells stained with NucSpot 500/515 (green) and CytoLiner 650/675 (magenta)MCF7 cells stained with NucSpot 500/515 (green) and CytoLiner 650/675 (magenta)