Protein Gel Stains
One-Step protein gel stains are fast, low-cost, and easy to use; no fixing, washing, or microwaving needed. Stain in as little as 5 minutes with a 100% water-based, non-toxic formula (no acetic acid or methanol). Safe for drain disposal after pH neutralization. Compatible with Edman sequencing and mass spectrometry. Download the Safety Report for more info.

One-Step Blue® Protein Gel Stain
Quick Video: One-Step Staining Made Easy
One-Step Blue® Protein Gel Stain is a safe and ready-to-use blue protein gel staining solution. No fixation or wash steps required. One-Step Blue® can detect as little as approximately 10-20 ng of protein per band.
- One-step staining procedure
- Non-toxic formulation
- Sensitive protein detection down to 10-20 ng
- Visualize blue bands, or image with a near-infrared fluorescence imager
Clear, Visible Protein Staining in 1 Hour
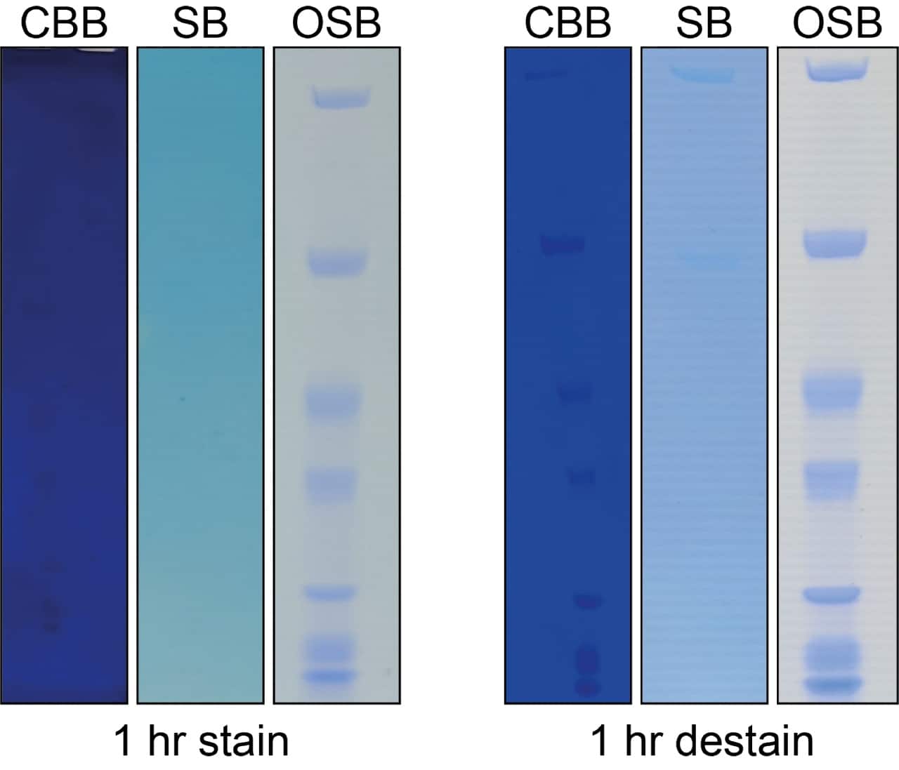
One-Step Blue® produces fast (5-60 min) protein staining in a single step without fixation or washing. Destaining is optional. One-Step Blue® has comparable sensitivity as the widely used Coomassie Blue stain, with a lower limit of detection around 10-20 ng depending on the detection method used. Note that staining intensity varies between proteins. The staining is fully compatible with mass spectrometry and Edman-based sequencing. Proteins can be detected by visible blue staining, or by near-infrared fluorescence. In a comparison experiment with Coomassie Brilliant Blue R-250 and Simply Blue™ SafeStain, One-Step Blue® demonstrated much clearer staining after 1 hour of destaining in water compared to other stains (Figure 2.).

Figure 1. One-Step Blue® is an alternative to tedious Coomassie Blue staining, and can be imaged visually or using a near-infrared fluorescence imager.

Figure 2. An unstained protein ladder was run on a 4–12% Bis-Tris gel and stained with CBB, Simply Blue™ SafeStain, or One-Step Blue®. Click image to view full caption.
View Product Page
One-Step Lumitein™ & One-Step Lumitein™ UV
One-Step Lumitein™ and One-Step Lumitein™ UV are ready-to-use luminescent red protein gel stains that feature a convenient one-step fixation procedure with excellent sensitivity. Both gel stains are non-toxic and offer sensitive detection down to 1-10 ng in as little as 5 minutes. Staining is fully compatible with mass spectrometry and Edman-based sequencing.
One-Step Lumitein™ serves as an alternative to SYPRO® Ruby and may be imaged using a UV transilluminator with EtBr or SYBR filter set, a blue light transilluminator, or a laser-based gel scanner.
One-Step Lumitein™ UV is optimized for use on UV transilluminators and serves as a replacement for Oriole™ and Flamingo™ Protein Gel Stains. In addition, One-Step Lumitein™ UV is an aqueous-based solution that does not contain hazardous solvents that cause gel shrinkage, unlike Oriole™ Fluorescent Gel Stain (Figure 4.)
One-Step Lumitein™ is a SYPRO® Ruby alternative, compatible with UV or blue light transilluminators and laser scanners.
One-Step Lumitein™ UV is optimized for UV imaging, and serves as a replacement for Oriole™ and Flamingo™ stains. In addition, One-Step Lumitein™ UV is an aqueous-based solution that does not contain hazardous solvents that cause gel shrinkage, unlike Oriole™ Fluorescent Gel Stain (Figure 4.)
- One-step staining procedure, no fixation required
- Non-toxic formulation is safe for easy disposal
- Sensitive protein detection down to 1-10 ng
- One-Step Lumitein™ as a replacement for SYPRO® Ruby
- One-Step Lumitein™ UV as a replacement for Oriole™ and Flamingo™ Protein Gel Stains

Figure 3. One-Step Lumitein™, an alternative to time-consuming and expensive SYPRO® Ruby

Figure 4. One-Step Lumitein™ UV Gel Stain is an alternative to Oriole™ and Flamingo™ Gel Stains.
Ordering Information
| Product | Replacement for | Catalog number | Unit size | Product protocol | Safety report |
|---|---|---|---|---|---|
| One-Step Blue® | Coomassie Brilliant Blue stains | 21003-1L | 1L | PI-21003 | One-Step Gel Stains Safety Report |
| One-Step Lumitein™ | SYPRO® Ruby Protein Gel Stain | 21004-1L | 1L | PI-21004 | |
| 21004-4L | 4L | ||||
| One-Step Lumitein™ UV | Oriole™ and Flamingo™ Protein Gel Stains | 21005-1L | 1L | PI-21005 | |
| 21005-4L | 4L |
One-Step Blue is a registered trademark of Biotium.
Lumitein and its related technologies are covered by US and international patents.
SYPRO is a registered trademark of Molecular Probes, Inc.
Oriole and Flamingo are trademarks of Bio-Rad Laboratories.
SimplyBlue is a trademark of Thermo Fisher Scientific.



